Diagnostik
In den Räumen unserer Praxis besteht die Möglichkeit, modernste Diagnostik während Ihrer Untersuchung in Anspruch zu nehmen. Zusätzliche Termine zur Durchführung weiterer Untersuchungen oder sogar die Überweisung in eine Augenklinik können so in den meisten Fällen erspart bleiben.
Die diagnostischen Möglichkeiten unserer Praxis umfassen:
Für den vorderen Augenabschnitt

Darstellung des Hornhautreliefs bei starker Hornhautverkrümmung: es besteht der Verdacht auf einen Keratokonus (krankhafte Hornhautverkrümmung und -verdünnung).

Detaillierte Diagnostik zur Auswahl der passenden Linse vor der Operation des Grauen Stars.
Hornhauttopographie
Die genaue Erfassung und Darstellung der Hornhaut ermöglicht eine Reihe von Erkenntnissen. Das Wissen um die genaue Beschaffenheit der Hornhaut hilft z.B. bei der Anpassung von Kontaktlinsen wie auch bei der Diagnostik von Hornhauterkrankungen wie Keratokonus.
Die Analyse der Hornhaut mittels einer hochauflösenden Topographie ist darüber hinaus auch vor der Durchführung refraktivchirurgischer Eingriffe, z.B. LASIK oder der Implantation von Multifokallinsen bei der Operation des Grauen Stars erforderlich.
Optische Cohärenztomographie OCT
Mittels optischer Cohärenztomographie können Strukturen des vorderen Augenabschnitts dargestellt werden, z.B. der Kammerwinkel oder die Hornhaut.
Zur Diagnostik bei trockenem Auge

Regelmäßige Anordnung der Meibomdrüsen bei einem gesunden Patienten.

Die Meibographie zeigt den Ausfall des Drüsengewebes an.
Meibographie
Die Infrarotdarstellung der Meibomdrüsen ermöglicht eine Aussage zu diesem für einen funktionellen Tränenfilm äußerst wichtigen Gewebe. Weitere Therapien und die zukünftige Prognose leiten sich aus der Diagnostik ab.
Tränenfilmanalyse (NIK-BUT)
Die Verteilung des Tränenfilms auf der Augenoberfläche wird mittels NIKBUT erfasst und evaluiert.
Zur Diagnostik von Sehnerv, Makula und Augenhintergrund

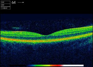
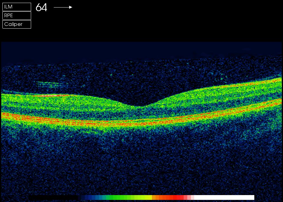
Die Netzhautschichten sind regelmäßig dargestellt. Zentral zeigt die Einsenkung die Stelle des schärfsten Sehens (Fovea) an.

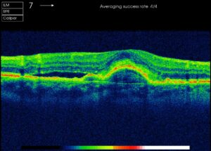
Feuchte AMD: Direkt unter der Fovea ist das Pigmentepithel aufgeworfen, links davon ist Flüssigkeit unter der Netzhaut ausgetreten.
Optische Cohärenztomographie OCT
Das OCT ist inzwischen der Goldstandard in der Beurteilung von Makulaerkrankungen. Sowohl die Diagnose als auch die Verlaufsbeurteilung und nicht zuletzt der Behandlungserfolg der Therapie hängen maßgeblich davon ab.
Auch die Dicke der Nervenfaserschicht im Bereich des Sehnerven kann hochauflösend dargestellt und vermessen werden, ein wichtiges diagnostisches Maß bei Sehnerverkankungen.
Die Vermessung des Sehnerven bei einer Glaukomerkrankung liefert eine präzise Analyse der absoluten Werte. Der Vergleich mit 2 Datenbanken (Glaucoma Proability Score und Moorfields Regression Classification) ordnet die Befunde zusätzlich ein.
Heidelberg Retina Tomograph HRT
Seit über 20 Jahren vertrauen Augenärzte in aller Welt der präzisen Vermessung des Sehnerven mit dem HRT. Vor allem bei Glaukomerkrankungen ist diese Technologie zum Standardverfahren geworden. Ständige Weiterentwicklung der Technik macht das HRT auch in der Einordnung der Befunde bei Erstdiagnose wie im Verlauf der lebenslangen Erkrankung unentbehrlich.

Ein „muttermal“ kann auch am Augenhintergrund entstehen. Genauso wie auf der Haut sollte eine regelmäßige Kontrolle durchgeführt werden, um Veränderungen frühzeitig zu erkennen.

Gelbliche Ablagerungen (Drusen) bei fortgeschrittener trockener AMD.
Fundusfotographie
Veränderungen am Augenhintergrund werden mit einer Kamera doumentiert. Die Aufnahme gilt als Referenz für künftige Untersuchungen.
Weitere diagnostische Möglichkeiten
Gesichtsfelduntersuchung
Die Prüfung des Umfeldsehens ist eine wichtige Untersuchung bei Erkrankungen des Sehnerven, z.B. bei Glaukom (Grüner Star). Auch zur Erstellung augenärztlicher Gutachten ist die Durchführung einer Gesichtsfelduntersuchung erforderlich.
Anomaloskop
Farbsinnstörungen wie z.B. eine Rot- oder Grünschwäche werden mit dem Anomaloskop nicht nur erkannt sondern auch in ihrem Ausmaß bestimmt. Dies ist vor allem bei gutachterlichen Fragen wichtig.
PlusOptix
Die Bestimmung der Brechkraft ist bei der Untersuchung von Kinderaugen einer der wichtigsten Schritte. Die Untersuchung mit PlusOptix geschieht aus einer Entfernung von ca. einem Meter und geschieht innerhalb weniger Augenblicke. Häufig kann auf die Gabe von Augentropfen verzichtet werden.