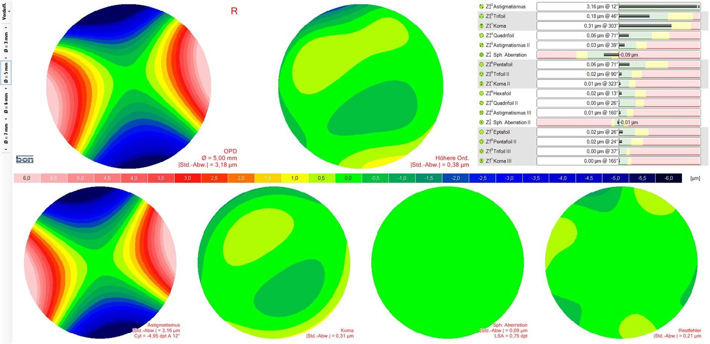
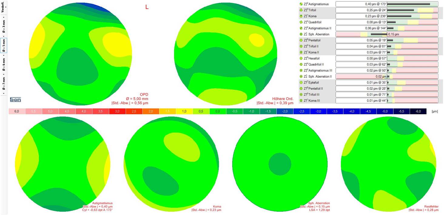
Aberrometrie
Die Brechungsfehler des Auges werden mit Hyperopie (Übersichtigkeit), Myopie (Kurzsichtigkeit) und Astigmatismus (Stabsichtigkeit) beschrieben. Darüber hinaus gibt es weitere Brechungsfehler, welche mit Hilfe der Aberrometrie erkannt werden können.
Dies kann bei verschiedenen Sehproblemen genutzt werden, um die Ursachen aufzudecken.
Bei der Auswahl einer Intraokularlinse zur Operation des Grauen Stars können asphärische oder aberrationskorrigierende Linsen nach den Ergebnissen der Aberrometrie ausgewählt werden, um ein scharfes und kontrastreiches Sehen zu ermöglichen.
Astigmatismus (Stabsichtigkeit), Koma
Abbildungsfehler höherer Ordnung: Astigmatismus, Koma, sphärische Abberration








